徐州市第一人民医院
咨询服务热线: 0516-962011
预约挂号
就诊流程
门诊时间:上午 8:00-12:00 下午 13:30-16:30 周六、日照常
网站首页
医院概况
医院简介
历史沿革
机构设置
医院动态
新闻中心
通知公告
医院公告
招标采购
招聘招生
院务公开
财务公开
集团之声
就医服务
预约挂号
门诊一览
就诊流程
科室介绍
交通指南
医疗护理
医疗动态
护理动态
科研教学
药物临床试验机构
医学伦理委员会
肿瘤康复基地
远程培训中心
远程会诊中心
科研管理
教学管理
住院医师规范化培训
基地介绍
招生工作
进修指南
数字图书馆
中国知网
万方医学
党建文化
党建工作
学习贯彻党的二十大精神
医院文化
法治建设
尊老敬老爱老
在线办公
医德医风
物资管理
上报事件
OA登录
决策支持
联系我们
医疗护理
当前位置 :
首页
医疗护理
医疗动态
护理动态
来院就诊 / 就医导航
医院简介
就诊流程
预约挂号
门诊一览
科室介绍
名医荟萃
交通指南
联系我们
医疗护理
学术动态 | 徐州一院成功举办市级继教项目《介入手术护理安全管理新进展》学习班
随着介入诊疗特别是神经、下肢血管介入技术的快速发展,不仅给脑血管疾病及下肢病变等患者带来了福音,更推动了介入护理发展迈入新时代。 为进一步提高介入护理专科水平,加强...
护理动态
2024.08.30
阅读 5327
聚焦IBD丨第十期“南京鼓楼&徐州一院炎症性肠病(IBD)多学科诊疗学术交流会”在徐州一院召开
8月25日上午,第十期南京鼓楼徐州一院炎症性肠病(IBD)多学科诊疗学术交流会在徐州市第一人民医院消化内科会议室举行。会议采取座谈及MDT形式,当天来自消化内科、胃肠外科、肛肠...
医疗动态
2024.08.28
阅读 5366
护理专栏 | 锤炼护理技能,筑梦健康未来 ——徐州一院护理实习生基本技能竞赛圆满落幕
8月21日下午,徐州一院护理部举办了2024年护理实习生基本技能竞赛决赛。经过前期的初赛,来自11所院校的180名实习生中,有37名优秀实习生脱颖而出,成功晋级决赛。此次竞赛旨在锤...
护理动态
2024.08.27
阅读 5420
硬核技术丨眼睛出问题,病根儿却在脑袋里!——徐州一院神经外科成功为一名巨大侵袭性垂体瘤患者揪出潜藏的“元凶”
常言道,小个子往往蕴含大能量。 在我们人体中,垂体就是这样一个不容小觑的厉害角色。 正常人的垂体虽然只有黄豆大小,但却是人体最重要的内分泌腺,掌管着多种重要激素的分...
医疗动态
2024.08.26
阅读 5895
医疗资讯 | 带状疱疹后遗留神经痛?徐州一院梅花针为您解烦忧
来自安徽灵璧67岁的唐阿姨(化名),3年前得了带状疱疹。在当地医院治疗后,虽然局部疱疹消退,皮肤表面基本恢复如常,但仍遗留右侧胁肋部肋间神经痛,时常不注意就发作。 3年来,...
医疗动态
2024.08.23
阅读 7024
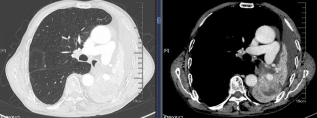
医疗动态 | 徐州一院呼吸与危重症医学科:“镜”下手术显神通,“瘤”去呼吸变轻松
近日,74岁的权先生(化名)因咳嗽、憋喘1个月在外院胸部CT检查提示左肺下叶占位性病变伴有肺不张,行气管镜检查未明确诊断,几番周折后来到徐州市第一人民医院呼吸与危重症医学科...
医疗护理
2024.08.21
阅读 5404
医疗资讯 | 徐州一院“选择性神经根阻滞术+射频消融术”治疗退变性腰椎管狭窄症
随着人口老龄化的加剧,退行性腰椎管狭窄症 (degenerative lumbar spinal stenosis, DLSS)已成为骨科最常见的疾病之一,严重影响中老年人的生活质量和身心健康。 什么是退行性腰椎管狭窄症...
医疗动态
2024.08.15
阅读 6004
健康科普丨怀孕路上的“绊脚石” ——抗磷脂综合征
小敏经历了三次胎停以后,来到徐州市第一人民医院生殖医学中心咨询,夫妻双方做了染色体检查,都没有问题,进一步的体检发现,她的抗磷脂抗体和抗糖蛋白抗体均阳性,原来导致...
医疗动态
2024.08.09
阅读 8300
护理专栏 | 徐州一院承办全市急救科普展演推广活动并喜获佳绩
7月26日,由徐州市护理学会急诊急救护理专委会主办、徐州市第一人民医院承办的徐州市急救科普展演推广活动圆满落幕。 徐州市第一人民医院急诊医学科护理团队在比赛中展现出良好...
护理动态
2024.08.05
阅读 5398
健康快讯 | 徐州一院承办的中国矿业大学健康驿站主题活动“院长讲堂”第二期如期开讲
7月4日下午,在中国矿业大学经管学院B106室中国矿业大学健康驿站,徐州市第一人民医院机关第四党支部与经济管理学院机关党支部继续开展守初心 担使命 保健康 促发展支部共建系列...
医疗动态
2024.08.01
阅读 5406
学术新闻 | 徐州一院举办“安全关爱中国行”消化内镜专业基层帮扶徐州站学习班
7月6日,由中国医学装备协会护理装备与材料分会及江苏省医学会消化内镜分会护理协作组开展的安全关爱中国行消化内镜专业基层帮扶徐州站系列活动在徐州市第一人民医院召开。 徐...
医疗动态
2024.08.01
阅读 5360
社区专栏 | 徐州一院和平社区卫生服务中心皮肤科专家工作室:中医药特色治疗,帮助解决顽固皮肤问题
为更好地服务社区居民,2023年起,徐州一院皮肤科专家工作室落户和平社区卫生服务中心,每周一至周五安排专家坐诊,积极打造特色中医药诊疗,在带状疱疹、痤疮、斑秃、雄激素性...
医疗动态
2024.08.01
阅读 5738
前沿技术 | 更精准、更微创——徐州一院支气管镜下介入治疗技术取得新突破
治疗腔内病变 近日,安徽省灵璧县的陈大爷来到徐州一院呼吸与危重症医学科三病区求助。该患者曾因胸闷、活动后气喘的问题到当地医院就诊,行胸部CT检查发现气管内占位,由于占...
医疗动态
2024.08.01
阅读 5621
医疗动态 | 命悬一线!徐州一院呼吸专家镜下治疗解除狭窄,畅通患者呼吸之道
近日,饱受憋喘症状所折磨的杜女士来到徐州一院呼吸与危重症医学科就诊。三病区主任崔文洁了解发现杜女士既往有甲状腺恶性肿瘤病史,现出现多部位脏器及淋巴结转移,近期胸部...
医疗动态
2024.08.01
阅读 5467
医疗资讯 | 徐州一院NICU成功抢救一例“新生儿胎粪吸入综合征伴肺出血”的患儿
近日,徐州一院新生儿重症监护病房(NICU)副主任董雪萍及其团队收到了一面锦旗,锦旗上医术精湛保平安,精心护理促成长十四个字,传递着患儿全家对董雪萍及新生儿团队的深深谢意...
医疗动态
2024.08.01
阅读 5379
特色诊疗丨炎炎夏日,徐州一院干眼特色治疗给您的眼睛来一次深度“SPA”
炎热的夏季,您的眼睛是否常常感到干涩、痒、异物感、视疲劳、烧灼感、畏光......如果出现此类症状,那么,您可能得了干眼症。 干眼症是一种常见的眼科疾病,指眼睛表面缺乏足够...
医疗动态
2024.08.01
阅读 5700
医疗动态丨20年膝痛顽疾终得解——徐州一院成功为七旬老人实施全膝关节置换术
不久前,来自徐州铜山区大彭镇的王奶奶,终于下定决心处理右膝关节20年的顽疾。 20年前,王奶奶便出现右膝疼痛,呈阵发性刺痛,久站劳累后加重。20年来尝试了各种方法进行治疗,...
医疗动态
2024.07.31
阅读 6402
医路领先|一次手术治好两扇“心门”——徐州一院心脏大血管外科让“熊猫血”患者绝处逢生
谢谢,真的非常感谢你们!是你们帮我解决了多年的心病,手术让我获得了新生,我们全家人都高兴得不得了!年近古稀的张女士(化名)和家人激动万分,向徐州市第一人民医院心脏大血管...
医疗动态
2024.07.29
阅读 5767
医疗快讯丨徐州一院李甦雁教授讲述儿童眼外伤救治难题怎么破?
转自《国际眼科时讯》...
医疗动态
2024.07.26
阅读 5406
科普时间 | 几十分钟就有可能导致孩子终生失明,这些物品务必要警惕!
很多年幼的孩子几乎没有危险意识。在他们眼中,一切事物都是新鲜有趣的。但殊不知,他们好奇的一瞬间,很可能会对自己造成永远不能弥补的伤害。 真实案例: 小明(化名)今年刚满...
医疗动态
2024.07.26
阅读 5704
首页
上一页
1
2
3
4
5
6
7
下一页
末页
返回 · 医疗护理
预约挂号
就诊流程
交通指南
微信服务
返回顶部